臨床検査部
Clinical Laboratory
臨床検査部
臨床検査部では、12誘導心電図やABI、24時間心電図などの基本的検査項目から、循環器病診断には欠かせない心血管エコー検査、さらにはより詳細な検査としての経食道エコーや運動負荷エコーにいたるまで、幅広く検査を行っています。
12誘導心電図
胸に6個の吸盤(電極)を付け、手首・足首にクリップを挟んで行う検査です。


※検査の際は素肌に電極を装着するため、着脱のしやすい服装で来院されることをお勧めします。(ストッキングは脱いでいただきます。)
ABI


両腕・両足に血圧計を巻いて同時に血圧測定を行い、腕と足の血圧の差から、動脈硬化の度合いを調べます。手足の動脈の狭窄や閉塞の有無、血管年齢などもわかります。
(ストッキングは脱いでいただきます。)
ホルター心電図


胸に4つのシール電極を貼り、24時間心電図を記録します。
長時間心電図を記録することで、「どのくらい不整脈が出現しているか」「自覚症状があった時に心電図に変化があるか」などを調べることができます。
睡眠時無呼吸症候群の簡単な指標を出すこともできます。
24時間自由行動下血圧測定

呼吸機能検査(スパイロメトリー)

換気機能を調べる検査で、いわゆる肺活量などがわかります。鼻をつまみ、筒状の器具を口にくわえた状態で、思いきり息を吸ったり吐いたりしていただきます。実際の検査では技師が立ち会い、細かく説明しながら行います。

睡眠時無呼吸検査


睡眠時無呼吸症候群(SAS)とは、眠っている間に呼吸が止まる病気です。この検査は、眠っている間にどのくらい呼吸が止まっているかを測定するものです。
胸とお腹にそれぞれベルトを巻き、鼻にチューブ、指にセンサーを装着し眠っている時の呼吸状態を記録します。検査キットを自宅に持ち帰り、ご自身で器具装着を行って検査をすることができます。
心エコー検査




心エコー検査は、超音波検査とも呼ばれ、胸に小さな機器(プローブ)を当てるだけでリアルタイムに心臓の動きの度合い、大きさ、さらには弁逆流などを診断することができます。最近は3D技術も導入され、より詳細な情報を得ることができるようになりました。
循環器診療には欠かせない、重要な検査です。当院で用いている装置はGEヘルスケア社製 VividE95が2台とPhilips社製 Affiniti 70G が2台。所要時間は20〜30分程度です。
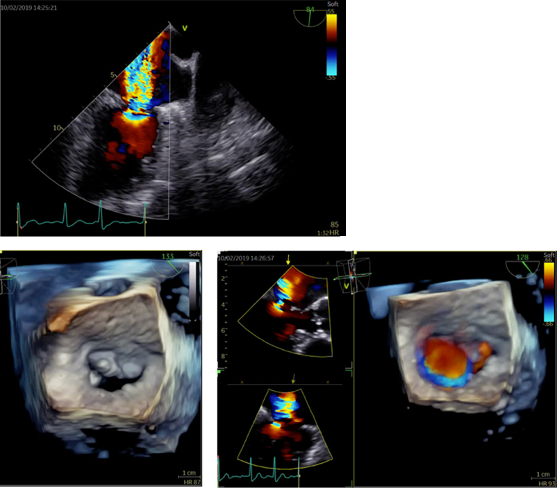
経食道心エコー検査


経食道心エコーは胃カメラとよく似た検査ですが、胃を見るわけではありません。胃カメラと同じような長い管を飲み込んでいただき、超音波を使って食道からすぐ隣の心臓の中を詳細に観察する検査です。心臓の中の構造やサイズが非常に細かくわかるので、この検査でなければ診断がつかない疾患もあります。3D技術がもっとも威力を発揮する検査です。
当院では静脈麻酔を用い、軽く眠っている間に検査を行いますので苦痛はほとんどありません。検査を行うのは医師で、看護師が付き添います。
所要時間は麻酔も合わせて30分〜40分程度です。
運動負荷心エコー検査

下肢動脈・静脈エコー検査

痛みはありませんが、横になるだけでなく立ったり座ったりしてただくこともあります。所用時間は20分〜50分程度です。

