放射線部門
Radiology Department
紹介
わたし達は、放射線を扱う専門職として、医療被曝の低減、安心・安全な検査、そして、循環器の専門知識に基づいた良質な医療画像の提供に努めています。
Pick Up

診療放射線技術部長 山口隆義 RT, PhD
北海道小樽潮陵高等学校卒
北海道大学医学部保健学科放射線技術科専攻卒
2017年金沢大学大学院医薬保健学総合研究科保健学専攻
博士後期課程修了
認定資格
X線CT専門技師、X線CT認定技師、救急撮影認定技師
主な筆頭論文
A New Contrast Enhancement Protocol for Subtraction Coronary Computed Tomography Requiring a Short Breath-Holding Time. Acad Radiol 2017; 24:38–44
主な著書
「超実践マニュアル心臓CT」平成24年4月12日第1版刊行 医療科学社
診療放射線技師として循環器医療に長く携わってきた経験とこれまでの研究成果を、当院の検査技術に活かせるよう努力しています。

320列 Dual energy CT


320列CTは、1回転で16cmの撮影が可能なため、心臓を短時間(1秒未満)で撮影することができ、不整脈にも強く理想的な画像が得られます。また、従来より被曝が少ないのも特徴です。 我々は、このCT装置の特徴を最大限に活かした検査を行っています。
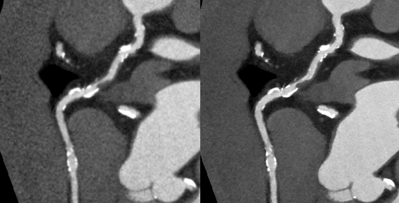
【高精細画像再構成】
当院で稼働中の320列CT装置2台をバージョンアップし、これまで以上の高精細なCT画像が得られるようになりました。
CT装置の解像度は、主にハードウエアの構成に依存するため、それ以上の高精細な画像を得ることが出来ませんでした。しかしながら、近年注目されている深層学習(ディープラーニング)による画像構築技術を用いて、最も高精細なCTで撮影された画像を教師画像とすることで、これまでの解像度を超える画像が得られるようになりました。
キヤノンメディカルシステムズが開発したPrecise IQ Engine(PIQE)によるディープラーニングの画像によって、冠動脈CT検査で評価が難しい石灰化やステントに接する部分の描出が向上されるため、さらに正確な画像診断が可能となりました。
石灰化症例:左の従来画像と比較して、右の高精細ディープラーニング画像では血管周囲の白い石灰化部分がシャープに描出されています。
ステント症例:左の従来画像と比較して,右の高精細ディープラーニング画像では小さなステントの内部も明瞭に描出されています。
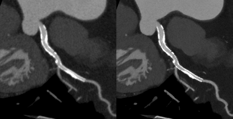
左の従来画像と比較して、右の高精細ディープラーニング画像では矢印の細い血管も明瞭に描出されています。
【サブトラクション冠動脈CT】
これまで、CTでは評価が難しいとされている冠動脈の強い石灰化部位やステント治療部位において、我々が考案した特殊な撮影(test bolus tracking法)および画像処理技術を用いて評価可能な画像を可能な限り提供しています。
通常の画像(左)に比べ、石灰化(白い部分)を除去した画像(右)では血管狭窄の有無が明瞭に評価できます。
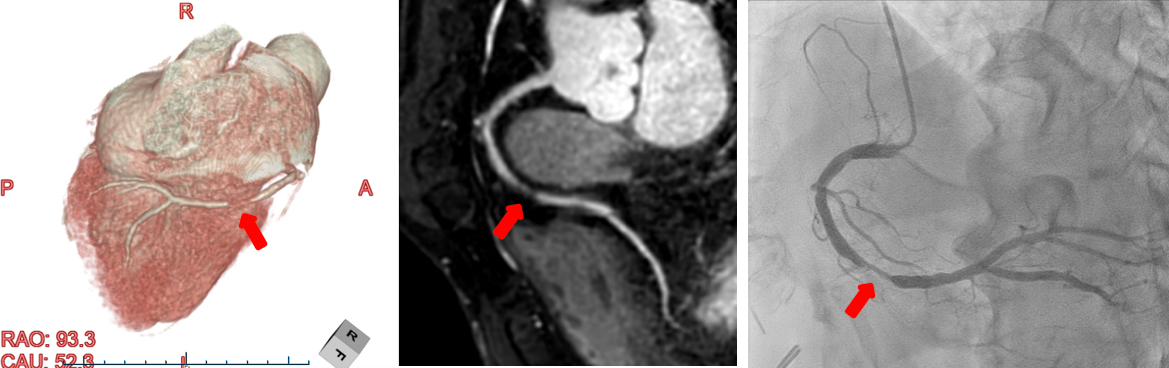
通常の画像(左)ではSTENT内の評価は困難ですが、サブトラクション画像(中央)によって末梢側に高度狭窄を疑われます(矢印)。カテーテル造影(右)でも同様の位置に高度狭窄病変を認めます(矢印)。
Yamaguchi T. Ichikawa K, Takahashi D. et.al. A New Contrast Enhancement Protocol for Subtraction Coronary Computed Tomography Requiring a Short Breath-Holding Time. Academic Radiology Published online: October 17, 2016
【SMILIE】
さらに、これまでMRIで評価されてきた心筋性状も、我々の考案する画像処理方法(SMILIE:subtraction myocardial image for late iodine enhancement)によって冠動脈と一緒に評価する事が可能となっています。
通常の遅延相の画像(左)では、心筋の異常を指摘するのは困難です。SMILIE(右)では、心筋梗塞となっている部分(矢印)が明瞭に描出されています。
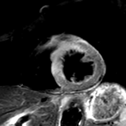
【4DCT angiography】
320列CTの特徴を活かし、動画による“心臓の動き”や“血流の流れ”を詳細に評価できる撮影も行なっております。
左房粘液腫:
腫瘍が左房と左室間を行き来している
Unroofed coronary sinus:
左房の血流がcoronary sinusに流出している
ステントグラフト術後のエンドーリーク:
ステント部位から血流が染み出している
【Dual energy CT】
さらに、これら2台のCT装置にはdual energy システムも搭載しており、体内の物質を弁別する能力があります。特に造影剤の分布を定量的に評価可能なため、各臓器における造影剤の取り込み状況に加えて繊維化の度合いや出血との鑑別等への有用性が期待されます。また、様々なX線エネルギーをシミュレーションした画像も作成できるため、造影剤によるコントラストの向上による造影剤量の低減も可能です。
通常の画像(左:70keV)に比べ、低いエネルギーの画像では血管の描出が明瞭となっている。(中央:60keV、右:50keV)
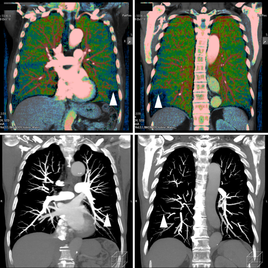
右左両肺の下葉の肺動脈末梢に血栓性の閉塞があり(下段矢頭)、ヨードマップにて同部位の肺実質における造影剤の取り込低下が確認できます。
3T(テスラ) MRI
3テスラのMRI装置は、従来の1.5テスラと比較し高い信号が得られるため、空間解像度や画像コントラストが向上します。また、新たな高速撮像技術であるcompressed SENSEによって、画質を維持したままで大幅な撮像時間の短縮が可能となっています。これらの技術は、当院で行なっている心臓領域での有用性も高く、画質向上および検査時間短縮に寄与しています。
【非造影心臓MRI】
腎臓の機能が低い場合には、造影剤を用いる冠動脈CT検査は出来ません。MRIでは、造影剤を使用しなくても冠動脈や心臓の機能、心筋の性状を評価する事ができます。
非造影のMRI冠動脈画像(左,中央)にて,右冠動脈に狭窄病変が疑われ,カテーテルによる冠動脈造影検査(右)でも,同じ部位に狭窄病変が認められました.
急性心筋梗塞の1例:シネMRI画像(左から中央)では、左心室の一部で収縮が低下している領域があり、心筋の浮腫(T2)画像では、同部位に信号値の高い部分を認め、急性心筋梗塞の所見となります。
左心室機能解析:心臓の機能解析が可能です。
T1 mapping:左心室の性状評価が可能です。
非造影下肢動脈 MRA:造影剤を使用せずに腹部から下肢動脈が描出されており,左浅大腿動脈に狭窄(矢印)を認めます.
大動脈4D Flow:造影剤を使用せずに血流を動画で評価可能です.
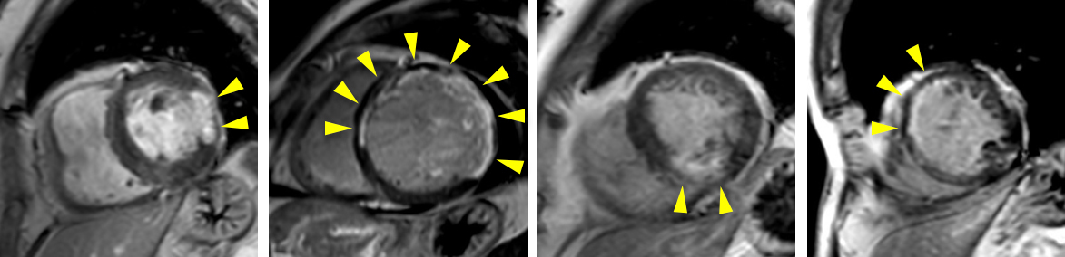
【造影心臓MRI】
心筋遅延造影MRI:造影剤を投与することで,心筋梗塞部位が染まり(矢頭),心筋梗塞の程度を評価することができます.
単純X線検査
胸部および腹部を中心にレントゲン写真を撮影します。
カテーテル検査・治療
カテーテル室では、冠動脈ステント治療をはじめ下肢動脈やシャント血管の治療、ペースメーカー植え込み治療、心臓電気生理検査およびカテーテルアブレーション治療などが行われます。
ハイブリッドオペ室(Hybrid OR)
オペ室とカテーテル室の両方の機能を持つハイブリッドオペ室では、大動脈ステントグラフト術やペースメーカーなどの植込み型心臓電気デバイスの植え込み術などが行われます。
造影剤について
当院では、CT検査、MRI検査で造影剤を使用して検査を行っています。
腕や手の静脈から注射をして、血管の形や臓器の染まり方などを観察することで病気を見つけることができます。
- Q造影剤って何?
- 画像診断に使用される、「かげ」を「つくる」「くすり」です。
CTではヨード製剤、MRIではガドリニウム製剤を使用しています。
造影剤は体中の血管や臓器に広がり、血流や臓器、病気の形態を詳しく見ることが出来る効果があります。
造影剤の使用量や注入速度は検査内容や体重によって異なります。 - Q造影剤の副作用って何?
- 造影剤の副作用として軽度のものではくしゃみ、かゆみ、吐き気、発疹等があり重篤なものとして10万人に1人程度の割合でショック、呼吸困難、血圧低下等があります。
以前造影剤で気分が悪くなったり副作用が出たことがある方や気管支喘息、アレルギー体質の方は副作用が出る可能性が高くなることがあります。
また、腎臓の機能が低下している方に造影剤を使用すると腎臓の機能を悪化させてしまうことがあります。
副作用が出る可能性の高い方は、事前に副作用を抑えるお薬を投与したり、検査内容が変わる事があります。 - Q造影剤で身体が熱くなるのはなぜ?
- 造影剤を一気に注射するため、血管の拡張がおこり、これによって全身の熱感がおこる生理的な現象とされています。ほとんどの患者さんが感じる現象で造影剤が全量入った後、時間が経つと熱感もおさまります。
- Q造影剤を使った後、水分を多く摂取するように言われました。
- 造影剤は腎臓の機能が正常であれば6時間で約90%が腎臓から尿として排泄されます。
腎臓の働きを助けてあげる為に、水分を多めに摂取して頂くようお願いしてます。
水分は、お水、白湯、お茶などを推奨しています。 - Q造影剤を使った検査の後、具合が悪くなったら?
- 院内で具合が悪くなった場合はすぐに近くにいるスタッフにお声かけ下さい。
帰宅後に具合が悪くなった場合は当院にご連絡下さい。
検査で造影剤を使用する方全員に造影剤使用に関する説明書を検査終了後にお渡ししており、使用した造影剤名、注意事項、当院の電話番号が記載されていますので、そちらを参照してください。
説明や造影剤の使用についてご不明な点があれば主治医や検査室スタッフにご質問ください。

