検査・診断・治療について
Treatment
大動脈ステントグラフト内挿術
新たにハイブリッド手術室を設置し「大動脈ステントグラフト内挿術」を行っています。
ハイブリッド手術室(OR)


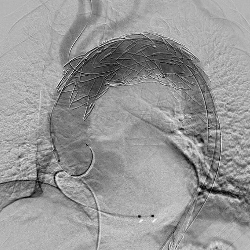
ステントグラフト挿入前

ステントグラフト挿入後

ステントグラフト挿入後CT

ステントグラフト挿入前CT
ハイブリッド手術室とは、手術台にX線血管撮影装置を組み合わせた手術室のことです。従来の手術に加えて血管カテーテル室で行われていた治療を組み合わせることにより、最適な治療を行うことが可能なシステムです。
当施設では、X線血管撮影装置としてフィリップス社製「Azurion7 C20 with FlexArm」を導入し、ハイブリッド手術室を構築しました。手術室と同じクリーン度を有しており、様々な手術に対応可能です。
大動脈手術では、このシステムを利用して積極的に低侵襲治療である血管内治療(ステントグラフト内挿術)を行っています。腹部大動脈瘤だけではなく、弓部に至る胸部大動脈瘤でも、外科的処置を併用したステントグラフト治療を行なっております。

